New in Wolfram
Mathematica
8: Comprehensive Image Processing Environment
◄
previous
|
next
►
Application Areas
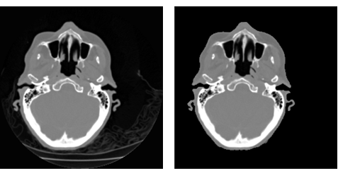
Removing Background Features
Use segmentation and segment selection techniques to remove the background features from an image. This would particularly be useful for volume reconstruction.
In[1]:=
X
i = \!\(\* GraphicsBox[ TagBox[RasterBox[CompressedData[" 1:eJzcvQ9oU+m2N5x8e8PeIQkkJCGBJLSFlioVbKmCoqLf54gKivoqqKigr/op tKXt+zUkIYGdzd6BhLS00Ja20NKWCrW0BUtbFFqpgqKioEUFxRGFUZyBGZxh BGc4DvnWev7t3Tlzzj333HPPufdmxjZN02Sv9az1W7/153lS9b9b/9f/+385 HI7/T4Uv/+tc8v/+P//nXPqoDD/8P+mOi/8bf+Vw0n/Sv+rmpF+d/7IL+Bfc ZJQW/slEcPIfkR+/O5xO5/9gdfx+uakmUGTZyeSXLJX8j1IDX2KJrzd8kSVc bslB5AfhHU6hHHyS0/k/xBKcTvGPyu8QD4hHJXzUyR+h96hp/HdXAl9v/j+X iMnPxRdSc1hg60++Of576oAZulP4ueSQnNbP9AmyzJ7nEAbP/wyfAV7htDnG f6MbRzEnAzP0c4y3/GcG9TJdaRTUwRFC4vJT+3DYcOO/xw2uXbY8m3yTibyW /HR16ZMlauROHhBtIMmjAtfYv1Kqv/EmrJVdrLWQRFAHd25ZcggvcLDgzzGB /spCAq7F/waOwO0b70KMk7nDM+EJzlNvlx0c5pwC7qzYIAnEwNehriIJPPkv fGO2LVswL+zX6WAeQJZf0Bzi/g572MN/TBUOokf0FFkS4PAvFO+v3bidCvuX ydI5RahDqURIEwDBnN8WDfFnlpdYOMmdwOn8L6kCmXy1ExvyM+G2lOVZdsBJ AEc4J1loG+QLL+L/rJsVQv9L3WSF+LuF9U4nN1kiiozyyyIkclE55OGPDhsz tG4yj4GMLTiczBH+S9mArMiWwQsUlGXxe5kBGHlEgCJnuA4WHdlDDpEWWn6C EVUmSpOZWcj/VWwAhAP5Wfjm8q9hLFwRMucyf7bM9DEHJTuMPhC44CILjVCV yFRt/wU0IEuKDDeFEhdCaCnoEZllIrrM7kuywABJsnTh4E7PowBavGxxAS4+ I00ysywH+9W/8obyyUQF5EeL3DPjlOkTxAJa8dyG5AwMHA6nZRvkrx0SQwXL 1okxgLbZc+R/rQlQ4Yj9i6Vwyr/7PfV+btcMGqQ1IGbFRafdPxwy5QFCY8T0 0dhkWaDCvxQGFJCc2CNbYmLtEr8yrh/2W4eABvIMmTqylfDy3/FA77SMgdwj yAcuplCd4118zX9RgkyEUhSXSg1SOCm3Vbo+YvnRvimxsaDRyhGcnAbRp1qU kYrstJ4JbylLTK2SxKPrP1t45tlORVZVAn/0R2Haimx/Hon8ILhDFoxHErzO Ir1OscoEQqk7cGChJuFwKuStuA0wrTv/+TAgU8Es95d51KJmz+Betrxecbn9 oZBPdTK2L4lAYCVBTu45VjbEfYF+o5ZGxZcp7LCg869QAPdupgOR+BCTp1oh 5u6QPKGq9Rsatu3dv2OdjxN+iS84v+ugymOI4GBeYFcTtXr8ojCdy4R7yvI/ lRJz2Z3CFhWFACG1X053yF2S7Ea3Hjt/8dLltlS649z2sEwyPrbw9Kk8D8If LJLkFIyZPkOmkissqJJAILPw8s9jxPQq+Krb5OfhnRoljQVo7Wr10Y6ckTNM wzSNXOveCMt44SvFMLJ8VBsc1Ry2BFESJRSJLDzDf4lDgcSo5T9NfIlBMF0B BS+KXJdkQSCFB8Lr1dpTWdPM6Ube0A1d19u/CqDo5CZJ3MiZlVOfEaTYihVO avjc9fF9ufxOYQP/DPHZZXDuJ8sQARQVmIAiUbjjiSDnBJXHMyC9rhsgvKHn dLN1m5+JL9iL7BSBXJYkqx7m5KkwTQAZ5q25oSa4s/0TpHfa8JeQMVwHFe1f EtxHsgzZIQX3JvScljPA+MEBQAGG0bTFQ8XnwtlSRVIz4XUiwfsk9iyZ4Z6l BvaQgu5ge53/LPllG+u15FfAANjby06e7lCn9TRe1g0mfx7+A0MwjUtbgjLT AHFqmclOo6aNDkoC2An6szAjyVYElAUayjLvJ/wnyy/JdvkVuv70OhS2/DLl cU7JVXtaA9AD72caMMENzFzzVxUqr/tZr02jh71aJllYILF35hbD5FdkSYhv U9d/kvBrgr5ChMebqtJ4gDYoKazwg5etVh1O5ynuoQ4ME/6hMZgdByoVBw+D YompJbDqqI3Yry0m2J2P8QEeB2Ubvf6H31hw5yGPgj+xfoXBPVsNuvgY3sJ7 Owxcc5A+p2U1DZQA93LwWMfBSmoBDs51aZFLYlKQeL8mBEqSDX3pN8USnlkk 54r/CTcOsczoYdVlGoRo+o/yS5SREo/G6/BvaTZMJr+WSaY00AG1BNNMHlrn k2ggdPJI4LTZONIdW15gXYTAQOb6Eq0IMCX8p60+XXu6Aszs4W2J5zPyIvOg xwxWCW6+kDMx8IH82UwqZfT3Gpkcig8gaCZPb6/wMCZgSUkN2clfRiChUyTB YtkVYfVMK+zdnaJ+/g8VniW6JOSriPgUfijxEzkNvQSsTbkqdl3KmYaGsT+X SaezxbGF2b5cBkwAAVHXs63HNoVlLr7DJr+d/FkkgGUACrItLr9iKYIBgLQW Ov4x4tuDDVY9VMvnecnOYatkoPF61x9ph1VGdwfXT+cK/Vdmr89f6dVSWTQB HTWQvnRgvVfiZFhkwCLyCelFViATvmWXWdxjMcDJCsr/aPmJ09FCl0wwnnqn JJaPXCUrZTrB9s9m0PFh+UF8vXN4emF2eubq5NSAngEcNEB8+Kolz+2o8Lux iMKwUJJFXsiyHmEFKBgtNtoktqgYdwSGl/9ABXB1CyNkiR1ZdTR11eXx+QOh YMDv87gREdyVe1t0QnZwpfP90zeWlxcmJybHxqfnr5Q0jay+Tswgce7wV1vW V0U8iiTyIkp2JNkqj9HugINdjsKwmDo9ZQ6CQzF/+UdiAC9x2lN3htuKJ1S5 YdO23XsPHjp86OD+vbu2Na6vqdtxOg24T4DPMLumHz2/d2NxeWFqemJ8fOH+ 8lBe1xAWiB/kzVyq/fK54/s2VflJcYRlBnizMSBW7RMYIeydOb6IBZJAjH+k Alie6bCLD9boq2j46ui5prb2ZDKVTKVS6WSio635cmtaJ0zPhHUuDCw8/frh jdlrt24uzk9eGZ++/fzZ0oCJXIDIb+jZdCqRTCRazh3aWuVTnFZmSN9Z4ujC YNDGvwQH4iUoXlfluvsHSc/yWadVqkHpXZGGvWebk+l0GiRPkls6k8lkc3q+ ANLnMeEp9E/fe/bw1o2p0bHZxVvL16anrs6uvHj76EoXCQzgCXo21dHe3tGe SKSSbWf31oVU+uoipAhMsWrdRFzFrgXOu/COg9TdHP8oCLBFWnJzMm4X2nS0 CYRPJTs6iADwrSORhKVMZ2FRDSQ5+f7Fx88eLS/emBssdY7M371/e+X63OzM /O3nL2+NF8EBkA5pKH97W1t7RyKdTlw+vCnqYr4lcl+OaFwf3OJlWzVUwKLA 0H8UCK7hlzQ7dzhc1fubQfhEAi6+rb2tFa6faqAjkcoCtmnZnFEYefzTm5vX Fu/cm+1MduijKw+WFxaWbi7Ozi48eP3Nco+hZdKggAy8Rhve0AbSyeajmyIu qyGKN4coEwoeRMOxFQVtiCBxCPiPdwj5i3J8cdKrcTjcG092wGqh6G0gPCig FQVoa+toT2J+AyubMwaefHp9fXL+0Yt7o8kzR0+0Dcz0ZIoTy/duLU5N3/7u 080uLZ1Ka7ksvk4rvEIrvFwHwEjT4Y1+mbmAqG8LN2C1cyG7jQCw3INOF/0j ZgedPOFlhuZkDWp3w7lUmi4byE1kb2tla5gGVNMABrSuW5/e3pi6duvJ/dni hf3btx3OjhQuXjSn7q/eX5yeuf3jjzMGQkY2m052sBcBTXZ0pFKJC7vjiuDF 1Iw5r2GRgVf/FFYAli0lSDx1lv7DHsDjMINZWuJyOtS6M4D07cTsW3Dh2lpa qfztHamsls0mE6mMPvvtu6WpxXv3b071JY/v3LT5mDk1ljjT0nv9/r3lhenp J7896wT3SWDkSHJN4v+ggXTboRqXxYjYxYiKOF6XwldFYdmoMAfu/CIS/oeF l3iYofRKrjxGVp9ZLX5pacHvsPqZbCaTTgIWpHpX310fn7x1f3GkkLm0f9vm 3Zf7F+dLly6kB2dvLN9aurb49vvJNCInKCvZQTyotb29tQVtIJnuOLHRy2tk eBNZASeD1kUpsi0e0PTRypj+IwbAwwv+UxUuv+TwftWRAdSHtYLFbwHR8T+4 /HaAPi2TSuCv2jMTT25OTMxev2K2N10+sX3T9mPalZvXhzsutmS6R6eXH9ya W/n+RX8qgbCZSIIBtKD+8PXQijqSyXObfRYTkqxmiFUL53FAshUCmPySnTz9 neI7JOJdpM8JKQ9LtYHb115EyMLlb0EdNOPqA/IlU+D0qBgw5kTKmJgZnVhc Gu84eujEqb31DV81Ddy8e/Oq0XT+QkvKHFpYnpte/eleVwaDZzsgP1l/fDkK pB1pUIBf1MhYTWmtT8v2BbJVp+hzrYzk71MA6e9wkqGqKg9/kn9vOpui5t9K fR8vGdcemBwsZiIBIKh1Dff3T92czR3cvOPI4c11DYdyc6uP788Wmk8ePnL0 VEvX7Pzk7OqLST2VID6foC+H8tNgCDZxfquPjA3Sq5EkbviM7a9NhNZAIBu1 lMgOn7+TCNMyDilsg/wulyyz/Ss157V0ksAfgX1YK4j6gNqZbJJID4QwZ3YO DfaNzi90n9pct+Pw3o3rt5ztvbt67+5s6fKxPTu3bt1zqfvq1NW5lZk8hT6w gI52tCOwJoqCAALJsw1eibN/Kr6DJ4aStFZmWxLAusdOywX+TvFtL0zrHRKG Fs+Ojhz6OGF9CQC6FPDfRCIJSgAzBuDPQeqTTbVrw4u3Jlp3163fuX9rbe2W i6Orj2/emi9dOLC9ATOk852TM7PXpjuThDZg5O8gYNLcgsK3okZSyZPr3U6O gbIsfJm1GHgLjAVpiw1ZrUOZZ49/x022SstcfnzJyHFNSxKih1wvlc6A0UP6 gtwnSch/Pnlmd0Nt1bbM4oJ5uHF94+7d6+MVjRcmnjxcvrVQPLNrY21FJFa7 q3VkbmFmZlQHrRFdJpJEA80EBwkRSKY6jlQrvEpuNTmdlOSy5psoxyvMACQO e1wJfxcGIo9ikZUUuF2QoKNfKRuatHSijUgPbp4rdHYWtWxGL5S6uvsGBnu0 pkP1IVVyOHwHh/rPbNlQv3X3lngwtO7k6P17t1Zm9SObauKhQDBWf7p3fnFm dm7YxJgBBpSiZJrSKPQITAha94Yl3hmXRDrA80BWhVIUwQKE/7PnMAT4d3YF nFaOwcqdquqN+4kB+vakSMbSgVecKw7Mrjy8f2NmevH+sxePlyaKF3ZUYUUL E6QtmY4dNbX1mxsrfW5PdP/A7eXl5anUnvXRgMfjDdYeNGcXr01NTY8N9Haa JAnGQED9inLp9vZk+uJmHy8Py06nBf9O3oKVaAvG3hekv2W6cggG/e+Qn3IN KjxgINY7vVEfMiul8kw2g1cK+JzMlIYXHq4+f/P21ev3375bvWae3AypC2tu yg0Xj9YEY+vqKr3w976dPTdv3Fgaa95eFXCDPj3Rbe1Xb0wkTp5Pdo5NjfcV IQ3CCNCOdkWSyTZURypxuk4lHmArbuA3mXUcbTcLDCReRRPTZP+eIEj/jnf6 SLkTBFBd+IZO99Z2DVgbUJZEMlsau/7w3tLKk3c//PzD81ntyMaIW6bpIdzc m45tC7l80VgA/9CzrfvOnZsL3cfrQm68QsW3/tTA1aZKly++5VRxdnHu6sTY aK8B6TNgSQIpEaYXCAqHYnQM0IqATlHzJqSc9SBkQYORDkm8esxs4d8hPys8 UFUqvMvFfowdgzCH9DaR0Pqml+5DTHv5c7lc/vFu8UClV2GVOpTft2VfrVuS 3R43ohXK/+DObGZX3KuS5oY7/pVW3EyrSHXHtMm7bz//6f3KgKlBQgQkCgMK 8bLk5W1+J5OfJUJOVutRrMivKLYsjSyUZCsAONkk5d+4/JIYYpCs8Q76S09j k5Zqb0Xrz3ZNrywurNx5/O4XkP/zrfT2sErCLt3t5Axs2x5RSKZKyuG7u5fu 35u4UB90ERiRlUBDc6KGuorirdjZNvtDufzLvYmezq7OgpFNgRmkEAsSidPr VcHlZGtkYM1NkUUsJDcB/ZQ0O/4dJXExUOV0sn4TfX18HTl6KJmFiJ1A4x+c utrf3T88MjF77335t4fmV3GXlXc6pPDOTT5akoIHlejxgZUnd/sOV7o5vLqr TrWtc7JSl+ytPjoKCvj+1uTI4MBAD2oAAwJAQLL9QFSmpQDaf3KK1GxN94MP BtC7kuD+YpfZ3ya/cDVaYrZCC+rTU38pg9Q/mcrmIdblsYCTSqQKE6s/vuze F3eJBia8e3g3sDfV7SL5qKv24vCdZzf1bQEyvEteObT34gaZyg9f3Osv3yqX f3ow1d/TMzjYXTQ1dAIE2nTzdr+T5wG2Fr+972Mrhii8ESqon1NsMvkbVt9B 2yyMAEh0wEGm801S5GAHFiva0xm91NeZTabATNubW9qzw/efjR2NqYyeEWcJ 7653y56AR8VLcde3DC0/una51sXDuKx4Gw7XCPkdcuTg1Z/L31zv1TJaobur VDAylBd1pNJn1ykObsK89C/678zlFTEYxjuylsAOBy8e/g3Lz5qMnP4pCusy ECkuYobT3p7OGoW8lkykIdttbW5ubc2O3QbhVIkxE/wW3lXnVgJhP8Kd5Kpv G165O3QwLHMBJMlVszNGyQ3ZG+XfPfL+21uDWWBAWbOQz+d1kmRjQShxIOS0 FfPofBmRn18h40JMG8xd+ZJyFPwb5Cej9zIL/DTGqAobbnQq8UPtmPi1JbM5 wwTWloREkGQtre368GR6k4fmWhR/grvrVFc4RsOdVHVh5PZNbZOXDniR9VEr d1XILEjD8nq/Glm9PaQn2lpaUjgoYZq6RpgGeMDlBtXBkj/JmgKwCr8c+Okw giLz5qEsc+llq3/0V5ffYeswKJxjspEO/5aLqRQm95mcYRiQ7UKoSsHlYhWk Xes19/r4DCcqMrivQXXFqiJeBACH/+DAzZlzlSq7dBUreFV7q2UH3e6B8fLg 8PVhWHPQZ7uWQw2bRi5D8opU8liMXb9sawGJyUP7XZU4AgM/Nk0tW120f2v5 aW3VKvry2Sa04doTEJTRITVs6mtY6Muk2jH9Bx10GMXzcVqvIdpyhA5v83gq 1lWSlo7TvaP75uiBIKKfDLkEoIKkVOyKUZgiEBA6c2Uyn04nsRCClRScl9FR AYACqbatmAg6JL53wAZ3iqgA2iIgSRfX+sDfgoDs8mV6mczG2GijHNnbmsLK Vjqr6SbO8YAG0iRjISWwdMncrrCCFT4/emK7x7eucV2QyK82mjf7t3uQVypu Xzjsk8GdNgVowCR1rurUdL+WSidJ+SiTod0xpoBU+mScys8qf1YHhEGgIlvG wFRAuwYsDFiF9L++/PSOTbus0e90ujeeR+tvT8K669jZhlsGFAK5egtooC1Z GLoQdjj4Lial9twmV7B+Z0NIRtdVNmpLpXokCLLLF6utDcoOOVbvcwr/VzaV Row0JBUIMAlIpEG/aAFAtzARbNvu4jvIWYFLVH8p/FnBgCqCArEQmpUC/noM cNANdk7OJvicC/6hUnEICRmWtjTNwA4uZL0ZoMIoP1YtE8ZIbiOJZyTlUjed r1Wj2w5si8hEvLrsXKYa3V71hGo3NcKjckW91ykIs/fgYE8WSF8SDSCh5VC9 ODaXy2IekEyfiLFuO22J8stTBf1XOGCzSCgMX5JE40z6q/LTlqPMuDV/B/iC yBPadTmFoR+wn64LLXS3kbpdWwtQYm2wZ6cqxhpd245G1Mq9J76Kq2jgck1y ui2Oeya8gXjD7u1x2aHUNHjZ+sOfRC+PljDgIe/vSOCsGJcf36Qj1bxZsXN4 Jy1OktSUXSVdecjUiB+IUoG9aP7XEZAPHhANcFilM3YOV/15oDogf0ojdqlh sRP7Nm1tTP6OVPfgcZ+Y7PVu3+Vzbzh56VCVh3Tu4y0Tl6Pw2u5grG7Hwb1V IH8d8QdKTqVaczSf6aCZVQdiDB0U1LOZNCo5mToUZF1xXtxm0VkV8luJGg+B dn1J/1Y13MmDnyTxCW8WY0HZFYc7kqQ+kUpj9Mtp2Qwr2FANtEKUKo62V/Ls 3xnYs9nt39XSfqQmoKBbRS8MngrCi3pjddv2nzhcKzvUxkbV6aQ735zKtqFh ncAr6R+Al+GsuJk3Msl0og2sK32xVuJJAIuBJA6w0txa4UXItjJByVYO+EvL 73DKYs6NkSCwJky6fDtbkfdjOpbM5Ewd3VM3cxrpAJPyZVtHujDZv1Xm8seO bnJFjqSThxpqArDMSuh01wEPmFWgZsve4xdO1ikO17atqoNPPnlPXO3PslJ4 BySYqWwOh+RMI5ugtcV0xw6XVQeQBMdnBIXMoHL8U8Q0CC8dchB0/pVquKiz We1kFvwcrvVnM1ifSmCzCswS53dKc3eG87kcCQGkjZU2Jm+ccvPJ/toLW1yV 53LtJw4f2BSHxCBw3NgJelAjG3cdvdh2vl4F+TerbJTC6YylrhRSHdhJoBWw JLZRQX4zRzpN+MCRgAAAtkgUzegwpovVPlSFd8Z/t/RMxr+8/KxazuYorOIi PBjc14HYjPKns3oOJ/mLV78r3+4GT0gTH2jHjufYSluQye/eqW131zXlEi2J liN1brCgo7mtgIRqfOuRi4lM8ybV4dm5hckP4WFrZy8AHWmiJXCKoiOd08mc qKElSV81mT5b4aSDMazwJcoUCp9GFKwIfra6oMLtRUn4L3s/KyzSppLKbECS K89n01iXS3SkIPbjZga9tPD25xeDBcOAy+4g9cCU1rdQqGUChc717fI2tumA lR2HkPZ6D2tbIRVQK3ef6dCNts0uZ+DwPg/TliNwqsdI0TGIRCKdBaWmgACA BUAalMJWW3tHuoVEV0nmwY3FKhICeDKgMChQFSG2fSqRYe1f9n58Di+pi8Fm yb2lnWTjcMuA7CaOt+QX7q6+GSuaSFCQFkAunClMjB+mEcBZmZo8GNiaMM2C 2bY3BqvhOZDb7padrnUHL2UL+bYtbinWdD4qMW+pS3dlkiTdb+tIaoaZ17NZ EmjMvJlB8TEubFPZpmce3IlxKsoaEihQUBT9WN5ElOEQG4v+fPkdhPdgBijz 6TrG/Xz70lqKdDySGpNf71p58Pr9WB5zFEQsnP7KaF0ThW3I0xyuzb0r56M7 0/lC0Wg/XI3y79N3uSWnu+FEaw7l9ygburq2ean83v0FA2eoEGKTGaPQObvS R6bFQf5ClpTFQcN7vNaULAUqkftZhQCF0SJeZ+A1EEkSEeAvLT8PfpLE5Zep /MEjyPQQmNI5FB5vo29++vSkF+f5M0hZsBQC+WDnQGJrQFFDjU3zj/X6g1qx VDLaQH7gA/uMXWD/7sZzCR1sYrPbs29+uamWjHkoGy8bGQwlWPlO64Wu0W/L 90o4PAlvlM8lyYxRIn04YDFAwVMkwVLFPBBP2azFtQ2u/QUApDN3MuVNa8wf XqjyXDZJi/Ia2cBhGGZh6tfyh6smznBqYLgdyST2AAG18+mTew5e7pq9fq33 +DkTa5kdB6Pw5r4D5i4X+H/9hYwJ67/VG2m6/6TnUFxxOF0bmwxIpvFl4E2y +WL3Yrn8ftAkG6b0vJ7uoPHlWJAGC1GeIymePfBzNShi+XH5+M5rgYN/gADs WfYtHpxZO+UNLYj+2PHRyVQn/CuMf/dpqYji5wgThNUnM4CJdL5v4sbDp7fH BifzWmdXqZBP74c0T/Ifye92S5KrsckoFPKJr6Ibi49fLvac21S9fk+iWyc9 VOwjJ7KG2fPk1x/fjhBLQ2/DLAN4cfpUxCEYOqszOkUWKPM+GFWHwAhJUGC+ 9H9UCreajCzkSYptr2F9G5U/lcXlRwWYevfCQnc2m6Pz3VoO7iIjTKdTmeK1 V9++uz029WChv7uzWNDbt3tglULH8rtcIH/DJaNUzKeObTrUfePZ44dLg8WB 4R49BbwiQZo+HUB8el78/OrtOBJAFN+gGUAidTbG29p8Fo+RVMv5VYXnLIos qp+SzffxJst/IL+DU3+F1dW4XUmQyrWlcUI1gchskA0NuaxWLGbTGZxiJdPM uRz28DJZLZ3Wem69fPXkwZM3q1e6i4XUmQPVsgPkP6FtdcFCxA6ni0Uze+l0 um/80YsXL1afPJ40cAyKUsn2BOi08953q29mTLpp0MBKMJmOPBd38okgbgK2 4SxJ8GB67RLvgonGMcuG5D+nAOx1Wb2bB1KaVMhOdUtbBq8wkSZbNzApy6Gs 6UwGd/VQG8hhTgA/wAP5a0/uLCw8+Pb1dHcxdag67MaXjpxs2aiSMsJFPW9o KX184sqDl48ert69WgIEheCB1QRAf3g9Y+bt069vFImpAQnUsBECvzkbdwo0 Z5MOFKdtsV+mVIglwzbmI3rifwSALGezVf4kQv0J13AqDS1pkplnyQZOMrkO eJVJZ7F1nSaZKiYEWZKz53KFq/ODBXPs5avJYvrMehclFZHDxypIJyi442zT 5YvJ/tt3rt9+dHN+cayIOR7QKgylKL2WyQ29evft/S4iPg5Rk6kakD/m4NKw CEAtwMqALQBQeJbEWLCTnybzhypgZStyvgB5YV76JC+jVJ/HQn8ikWVD+2xD SzaTBejLaFR20AnDA6OrqGXSheUHved21/lZwyPQsMFPXk4NVG/YsPHE0PPV ufGr09OzfZjoZlF+NHgdLSjXdftj+esBsnHOyBsoP8U/q4gtS2IwkNYAOPpR BahcAbJsI4C81Pb75XdaZTsO/yyXoGE0cChJRlwypCJHBrezGZQ5i+PeuPYZ dP1shtoBbnjJZPTJ+ZZ1HjI+hhUlV8DHcnVZVl3urb2P57oL3UNT13oNLHRk KbTkqPzG8PPyh5GCSevgZP3B/09ErKkuQe4lmb+qlQtTz6UCicyPxn++/msg kIpvm/hhhqTS/ZxOdWsbkjMqP7lpaKkoNd3ek8HZ/wy6P1w//ErD3w+NHPXx jJUNbGFthtYTGnpuDupmZ+/oVJ+RpXukyOZAncCJZlz95iXKj/yHyA8aSB8N EmFsFI2+KIUq1RYIRcuWb6SSePbzhwmQ2G/MSRWsENnWrZLLdsp1l9MI/xmN MBIcXCewB8YPK0cKIQnAAXQCLWdqoBrwaK2/76ifZRWgUFJaVPh+MXXX4Ewn ZDel/itDBr6UAa+T4XqAly9Mz/fx9dfTSAwTqcMBtvw2BBeAryo2K2ABwJb0 WkeJ0C9r6CGbtXeKgAryK7zwjW9SdT5Fkh9Sk8eyPMqYyyaTGZAeaRuO/RL0 00q9YMsgQCbX23N5vcy8TVax5U0baeiysVNDIwUjny90T47lc4TpYz8lk0X/ gpcCBXST5Qf/x0ZYAsfh9nlt9TveC+LJD/V5mc8rqYqwEi6blQ3/fvmtOVtm qqKhyN4pfjZDtndgTYJkv2QzK04BYr0a0gL0BhIGCmOjebQDkL+zK3s46GAd FSTWMmfl7pqD6eEBk8g/NdVJKp1oVOkUeSGNhBewJAL/GP8SKH/7Tjemvyz2 82Iu24wnwj5RAMiv2jeDcxXw5tFaFRD5Cf9R2CCZZCv9k07VuQxS3JRGNnbo pkEgHzTSTobXsCFESmI5vXtuMo+oCKGgUDQv1fDdXCi/wkKWEj+RKQ72YnUn 3zM1P4ybBPF0BITRJIZT3BSTwjIj3TWtJclATNsW1cFmP3gPlVu7LfZT+Gfr z7MAAQGW+ytCfHoyp4N6lcB+W/7jVNdfzuBkTga4uUEaU+ii6SSZgu1gtIjQ YGPwxlQefoH123zBbFkvi3ONxLyKJNecN4pdJRTP7L+2Mp7XsaROaBWOwmHv R8N4wuQnG0SAIbU0Kg6r/SML+a3uN2sJqJwA8HapRf8tPiTb5KcnM9G1xpdW 15QSwF43tWVTSazK62RHo46dvzRCIlxZKqPxqAgkeGR+GHIZWEUdjDvfVCvx ng2zAtKZrjjYnDXzRP6BhYUe4vIG3SWPCkgTLqHRN4OIkCbLn2yuV5wMu3ic kqzeny35WbP+FgGgBkB+XkMBeJ+U8z9a+MAKgqrSSw7sSYL9dySZ/BjwgBCm SUqQ0kg9lFSrDD0/PJonSRAWLwsmYewUWMhbk7TEIcd2HTrZRrooRs/VwRzB OzwfgaaT6RSp/YA5GdTPEjhsmID1V3nxRsQpmbe82ZQaAQNVdblUNhIvibKf JPFm++/aAA6n2y3zNrGsKsKkRDktdiKLO/uStCcJ7p3BJUFKmMTdvDrd3o9t gXxvZyaZwV1wKL9+LMDKSjTrJIsE8tccPrp73/kk1tGNkpHhpS6TJFI6DhaA AsnmMLJxnGQ/iVTrFpckVkni4vOFl5nhQ+RG+V2KJPES+NodJFx+8aDD7Vep 7VvxhKWSVM9qzQUy8Z0g6Z4O0pFaVQpJD/ZpiO9ncblACg2TYBAph5WrfR76 IRNEfokSFciBN7e0H2vcfCIFdpOGJ2eIpNhTJbElh2+WzmZ5UEiQnWGJVMcu 1i6zzT4x6kfZKll+WHrVzeS35kB5AUhQXYsBOJUgnkbCcZH4P4sodOZZdje2 YZTHRUEFAOsDCwcbBzNgBQD0iBxhhWTtsjgHbRbyyR0q28jH+A+xBKd3j5ZP Hq5rOJWBPJo8Gy09RxCABgJMrsgIgM76C2Sb0KGQqH7QpbGVfmj8JyuP/zxe lyzZyJ4YBGWv4JQkhUcAT8Qjs5P4GKZS9KdpBbhtYB/Z2JrA8Ie5CmS+kP1g tst28SJnB4lzmBGmSfDT8LATo61RYac70CFACrHOwGGjlE8dqdt0MYtuQ7RF ARSPB0Iv0EhGgXwQXhOr68B+kqkzVWKNLKmtgge3fpfb5fbHol5KXqwTY5n8 zC5kkT4Gg4qTDfwRjFzb+4Z7FWfSZBwxQ9r+hJ6i8NkcxSua+2L+TvJB4s0a qdxfqmGZtZP1lMlgjDNyKl8qmMkD63e3kdwJcyid0B6yHxiAEANhhqgU7J8O Wyc6Uk0NKls+Ibwlv8qA3wXiuzyh9RujKou8tFTCKJCoiNMhD7i5wx6ZhwEy +agoPAmkd92bWrA4mSIQTXyUpvkE9w1SAYGrheUCy8eRKMhl6REf+rk474az RhUJtlLFhWKpANaxe+OpLGaSJG3GeRoaEgyTFFgypBhAu8w0/+nY5aFYzhxg Dfhx1HK53W6PN1y/OaZyY+edQtEAcfISAl1+VRaZImcVDGGJLUSPpHD9Uxot fJs52v0kbk/TFZQhhXwAcYGKQWoX5yr4OAC/FAwDctWlYqFQyOsXth5K4R7g HEkACH808Jwgg56XgoaEgZZ0BXBjaPJgQIgk+Aml/TT5A+tXVLfH4/GGNm4h 8lMK4LQO2RMASqYbyfK7ydqw+CdZfQ+GGu5NzdkUxp8csU3dJHmqRkpBOUp7 swQSUXZEROzb5vNIai83+hSJH2vrcLDdKM74eTOPFpA5ey5NXouaE0kDDVLz z5EUk9RX0nQKlhSAj0d48Y9VqGwwwGgPAT9fMFLbEFV45ZPFNn6sFguMtMwr +VmBhp65QpNzyaYApfpECkuz2PfN6XlyabQIRE9yQe6CaI24jzcyGwbUD9cw ff7ADrKh3TroBgNh6FiuUCoCPSZZJLoTVQENfyQEItBmccIkJfZFQPp9ngIg nc+RFKvsw9CajOmDA/jj69bXxxUnOznWMm+Gnow6EgcIe1ikdFr8V9g/Dqkd SZL0M5ExekYnxntMGqJ0kgjh5WL1AxYfCUGaHO6iY85KDzvTsqmWQzUqO+AE Wyx4tf49qTzYPxgJIfgYAAACCX80aX2ZFtW1HGo1QbbEYgEwe3kdK1RbQUDw P0r/FLL+/ljj9s0VqtUrlGUb/rOVBYqLvwqq9n6qZAc+9P/YoQTGdHDtwtSL H396v9Rn5uhJhsQZdFL1g3wHx9SQDIL/kqYlgTGQMJ/PnqhSmPhOd7xuY8O2 7Yc68IgEYEiEOFP8YMtvooXRU2MwDsL6I/0h+2ISmdZG1SEODeSTTuwLx39F geAfqtu1fZ2Pp7niG6d9DAJQftVDSZ61r07hkz/4NbQ3oeEZB0B9Bp58+vD2 pw83egwmP64XydSRw2WREqY1Gr6AySOUGXnAuXw+c7SSboqR3BtOtbYnsFOY 6NBoJ4XET8ynkO1g9Cfy04TK7B7oJGMX7W2tGAFSCToCwgThqY/Ms0CVAAAS AH+sYWdj3Kdy6md940Ef/+Gvsc4lsQOkKAqILiI8FNjRrhPrTmXMocer1xce fPzp4XgJq1K0FI7NL9wGVhzo70RCQOMXyHy5NQfpfaFQxB9ObESQlf0bT+cK RdCIqV08dD6LpQ0wFOT5pItGWsvksCxyZFTW6J579XQww7YaYq6VPujn56IK RxZpr1h/kN/jizU0rquOudcWfZwMCNjogKIKFJBl3vxl3X90JNW17gIWOWH5 05rZv7w8MXr11qsPz68Wcxo9vAXIC5huvnv8xtOXC0UysQveAa6dOHNZp9VL vGktx3duXF+/v0krYOADv28/uPuiZpIbqSWSk5J0OvFCYAW0ULjyrFx+0cVO mSAV4PM1eCo4F4oTQJEBiiAACohWVdXUhhXKgCQx/2fpTqLyy7TfJw5T4SmA B4DUv7Ud3RssG6hf5/jsxMjo2MTi08fjBchzyNklQHyM0aX7z1+8+W6pQBJ4 MPpiwcwmsuS0QyNPUcBItTa3ZanwCI65loMHW5FOmvlchsvPJn4MWmLOjz3+ XC6Xr2JfjVQAcDvgJsVhLSbrc1ltb5KzkRgIJMjnD8Uibhb+RLWM7WqT2JCM 3eB5fRKfrHpUSfGvO4nb+TEKZQ2j0DMxNznc1zMw8/Dh7FCJ2WxW67nz9uOn 9+/fzZokiJkQ2kBKg4zwgwfAvXyxZ2B4qK+TiF8gpyCaRtvx8xoJEmBCGjkl ihwdQ09LA/gojD/78qcP5fJKj4lOlsQEKJ08GBTuL7POh2zdeCRgKbA3FvOK 7J8FNZHk4Ve3CA8yrU1yb4AsUlK8tYdSWMhOZwijyxf75xaGOzu7+ydvrz6+ 1qXTqofeNfcc1+nT3UETQS9fQHJHVx3cH25dvSOLj19/8/z6QDGPkdEgZm8k OnIYAEnzS9MLnV06JlUabTHkSlOvPv/8/MFP5fv9eYMoIIkthqZ61Va9UKzW B6sDCtfFaOiNx72KbDMXzgGYpytWPUFiY0V0s5Ds8oAPhfe0kwZPJoteDCtZ GJ6/2lssdvaDD7y5PZin7M8cWH7z/Z9AA/f6TBS5ALmNgWcAgfDdA4NDQ1fm 7n/z8fvP5U93xrqL8DrEBwzyHCoaAKgxsLjchz3VLAFRo2/p/c8v799Y/li+ 21fA4+IyGF6AZez1Oa0NgPZeJ1lAlraCAbgwEAYrY0GPYh+D570DqgCXxOro It5TnihBBuF1R45kEP1gTdCWEdVKQ9NTA909/YOj1158vNVJ5M/kzL5rAFTl 8oP+QjFP/Rsre/li9/DM4sLC0oOX794+ub788uP3T64NdXV2Aj4UTJ1CpZHL kNQ603V1uouQfqRBZveDLz89nL06devzLws9xTy4A24Hw0B7qpLKQzK1tXmg TOshKoVAVI0arIhHcQMKT3s5DNC6iOpmdiEz2scpsuL1+Txq7CQmIHhCDzoy 4TKF/quz06ODAwNDM6vLJZr5a/qVVyj+a+z2wxPz5At86x5duL/6ZPXlq1cv VmbHxq7dfvHdmztTw32dpVLBoDCHxf00Zk5YW0Q/I9m0ro/+UH5wZXR87lX5 7URXsWiyiVug2W27grSq4eSHAf7uxjWgEFT3BiKVNAraqQANIBz/iTZlNupF BkTdAT8YQN1lTEy1HKExBTr4UuwZm5mZGBkaGJ0bhYwVZyEHlnD/4/c3Rzox qTUI9wVNdfWOXrv1+NXr50/vLS1Pjw0Ojl+99uCbN6s3r/Z3Afknh8MhSJCu J064AM0jpSMsLYy8+X75yuTck58/LvV2wuuSsJlDX8xc2KA6+RGBssL3u3D+ p7BugCLgTvXHoh6LBNruIVBIHPhoTkCwwSl5gx6PP7CpFfITWKFiqVQCGCMp XWFkYX5qcnLy6hWIAJCgmD1z73Hxn4yWCN7rBPcLxa7BianFldu37z9YmpkY vzo60Nc3PDw8vnDn6YuH1wY60U9wiiZPsAB0q2eTbS3NbXgEFrLJrpXXq7fv v/jwdqkf37pYKpY6S6aG4TZ1JCYiwO+sX7ZXBWgGg1U3D4RBMS0ry0IFaCU0 2WX9XpmhoeoPePwe/5bmXFbHKyyQQA53crme258/3RsbGBjowfK93nXtNUpf /jBGxCF0B1aq0Dl8bXF+YXFuZvrq6PDI+NWpqanJq1cnQAMzNx/duzaIDBL/ oEAAE6NE3sgmWtqSKZpGaX2Ld+8/frh8pQdNDxagq1TqLBqk9ti6209rOoS4 S3aBbdpQZLENTPaEQy7bR5LxErJC29GiiKIqMu0vuoM+n99dfTwFQR+4jKF1 XL7Yig0L3ehb/rFcfnptrL+rs7tnaBpx74fV73992EdpL/Z8gBoX+meWFsFM xifGBkambty5d+/W0vz88p3bK0szY5PXV64NFEmZD2MKoiEYWCea+eDMWD5F eqrZfFdvH0YLE54AmNlZxCcV0QS0yxtUMpUuDFa2MSCbNbARCFCAvyJolcBt ilLZhC/rHrAAIPvCAH+B3UmzCG+b1xNn9u/csed0B5a/Cv2zb3C399sXz1++ /UzWvvti/4PbA4Tski+A6r1zt5cmBwcGB4bHxm48enjnxvRIX2/vyLWVp+9e L49PLa3MDHUVTBotyfJj1OwaufkTBpEc6S2R0wQz+I7Fzp6ektaezJdwZzSk Sh073LIianqiX2sHQ0HmaEHPFYl5eRFMZmESf6uqMvvOlEFMRPFHQ14lesKA JSnms5f2baiIxyo37j/fntVSrReSC7+UbbeF42d6lh/dGO0CK0X8N0p9QHfu zg7BA51903ef3LwyUMqT4/AKPSPzD75+dmt+GexgsIRyE+8vUqo0+Ahf75tx bIhkUimtWDI7IY4UO7uK6SONuy9rxa7uLlBAap9foBXL5jmfpXUAohDVjmoA AXRvKqN/7FwL4v/cBdgh1oCYwQp4dvSIXioa6cuH64PIJr3++MZdRw7u2hiL bWm99p0l/3J2aPnWy++/ebhyY2qot7PQNfvg6fOHs4PdsMCF4UfPZ7tpxYSk t0ah7/q7t9dnFm7cvjPVSRRgsqSgUOhcJC/47XQJJ2KKk4/uzkx0gtbMzMWv omqg4UiLSUKndq5W4W1QmScsvBFOj2WmZIiaAlnSYNyv2IYehA9w8GAhk1iH Eq6KqLJ3w9l0uunAhpCb5u6QEgRCkFE7nGpkt77w6OXrNx9QDd/cev7h7Y94 4e9XxoHjj3398et7MwDbBcPoXno2U8plabFMI8VSo/v6ty8m+3vH7q+OkgQB QRD4EAaNiY9EAb8+uTYyeu0hvOaraQgybad21fokh8Md334ui0ZmpA6FJQv/ OaYzeWk5lBNDKp3kdIWjHtkuPPMRq4iismcCK4zVxr0ul6d6x64NYdyh4IRc yu/3uWRWxHI3XkokOqfvvPi2XP64+uz7T7+S6/680gtyzH385tbMUAlDW+HK 4/kSmwvg03Ga3vvo43zRKE49XyiR/If8T/hV/2p57e3NYLblaCNcOXlb2b/h WDLf2VnIt9arQhCRvLMeGK2AqBYe0kjoiUXdvLbNiDBdf5n1TmkqiS/riq+P e30uyaniaR7wtut37dt/4MDeLZVsc0v0WCpjTj35Dkj//Ss3Xvz0p1+//Fb+ Ui4/LOW0/MIPz+fH+jBk57vvPB/U6VwgmY3UyH1z4u2dTr04/uDWcHdn30DJ ZDOlgBzX4EU+/GTzreZ9jRF+IiqWz6oPtBlgAlnSCGAEh9uA1RBVVVELoEuK zuKviHh4x4sSaAswefmQ8GDFW7Eu6vUr/CDayO4LuOctm247TU9kUxrau6Ye f8ILfJm5OLn6458+fv8jmsCL7mzGmH3/6CoQHIzXg88edJMqLs7GkdlQXP9c 1/0n/cX+mZtLM1enbz+ZzuusamTmB16Uy4++FuL/1LM16OIbqsjFKLFdFzL5 QmKra80EG2P3LKulLiAiAbV5QPU4tsRsRWDcM2TtcSYZE1GLr7I2GsCt3CTF Cu1JGBin8oWSeXmTR4ZrOFyaefCK2Pxya9Pk/Zevn794g2egvO7XssbUN89m +otAWLq6rjy5ZvKxUNIUJJaQNa+/HO8ZWViYvbb04O3nB9205o1F09Lc559v vhDyv9dqZLI9TvznUIL1B8+d3xe3BqAFracJjFOyll/mBR1q795oLEw2ozPx 4ea2OqnoAfR3vqrqaBAMLLhu44aaDfvbSZzOg7/P9rTsqV/XeGnk2sLSwy94 hY+nJ+dXHt6+cePua9DHu0GQf+L9j3dHe3p7OjsH5u4M4iZpYv4oP+kaAqe8 8nyhf3Rhfnr2xv3nPzzoNmgmBGBYvPL1d7ffWOtv1pKGIUvLydHIMiS1lQEX j39MBZz9MRS0QZ9s2wjhDtdUh/E0Glbjpy1g4SqqQqvr/qqqWNCtBHddamtr ak7qWOo0C2MfyuXnNycHu4cfPp+fWvie0N4Xqw8Wr9+dGhqdufsOWNEVPZPr ffzlh3szE6PDw1MrCyWySZjORZNvWDHSBx4/HBuZW5i8cm3++suVEul6YuHb HLr17M3Xnyz/n94XUtmHS7i8LkkcjYwlCoUlrVY440kNB3Q2D8dGDuF3qje6 bkNN0ONi43KqyqdcKWiQjeoQ/iqr4kD/68/rmPUBOOEww8ATEptvrr5++/bW iNbzA4p/c/na4uzNh1e6ukfmX4BBPBqA1R1e/fTpm9VH9+7eWxnRqeNrxApI rxjvFK6/eXDt2uKV0StXlr5eKJCaFy5/9+zS7PKbn38V8n/Xu7+2tqFhfSwY 3by3MaiwYh7dBOGks3BUflHW/F05lEQBj9dF5plVbyBUub4al9fr9fl9Xo9L lq2iATs1wR2rqIr7POHtTSbwE9LF0YyeO3RBLvY/uTWSP7/l0PSHH3759t5Y ey6/8GS6u3N44TkgwMdZIOh639yjV6/ffv1kecQknV2d9jY12ufETnnvg58+ PLgxM3l16dvvJ01a9gcGPDZrXtBWnt2zDODbiXQinWo9fehYW65lf10sUrm+ rtIrOfl+DQvMuJP/LiPE7+5AMOBBcqt4/V5/rKauvr6uKg63WNRH57HY+CxJ jZRQLFoVcbsC9aezmPxghytXWiCX83qkxRwqmufrfLVNE7e+fvf6dpeZXvjm 8fzU/MNvMRzAgsP6ml1DYxNXhrvIlKTOWoVsSEwjfe0hALmf3zx/9Uv5x2Es bSAAlsbmR8/vbZ5bfURl//IjaPTX10/v3Jjs1LR8qZBpOnnsbFPzmW0hmX3E gZPPN/y+I6ZaIUBVvZDOBYM+tyq7/IFApLK6uqamMh6LVVRWBRkPopMeqFfZ FwtGqqNulzu8s6WA53jjGe1jlPB+fWOyvz3dtN4lhw4UhoEBfD1dMG7+9OXX jx++/7X85dm4SUIcjrMg4yWTLbSkS/u6KKaWRSY4+OQLlfLjMOmiQSo9vTLX 1342OfHsN5IGzOfakrPffcEc6/U4yZSwWJjDyvGugPRnJ/pQCsCaIarYFY8/ eINeFRhcwO9ze4LReEU8FAA6FwgEQxGfrCoCJUjw8MXD3lBVGCeIYkezJj3F voua5OrYwPCVXnOH6lDC289d1m6+f9J9ubn/NtLWD6+fzvcZGiuJZcm2hRwd kyYlbYNum6NFY/jXM33zzsNnb7591EfVU7r27P5EbynVYS4TLtm9tyK62Zgd n8Da2uNeUlLEeVlIqvIX6txOfhgCPxCEaUBsgbAlg6o/6MGWgC8QAEOAZY9H wkFQAfi/m5sKg1LZW1EZ8EQgSrhdsmtLGyQfyEwnYBW+vJ9u2nuptDzXtk5x uoPr95w2JmbHOk4eO9/99Lef718d6S/QkTVSFaWNXEL6yYcfsYkIg7ZMybxn AdLDofGhIiks5vuffFge6u9sbzLmIQD8Oncyqqjrmo225iGMhyvdeOAE8pB8 Lps+W+92UgOgzWAB/TbGq9hgwO0P+n0e0hgOhsJoAdEI3EAJbsqVBIS4IlVR vzdaFXS5Fdz2Z+Txwku3y+Uh4+rQxQOZ/pG+Exv88IK1e5oHhvOZdK44OHPr 5iQmeTmK8PQfmZSg3U06G0kf4PLn6FYPnQ44w7Jeef92un+gK12cuPX+559u X94VV7x1By9pbcUbEFl/m8F+C+TCZvPh3ds2hBW6/GK2RKIbAWXrZi0/POqC pff7IQoo3mhlVSWk85FwGBQR87MwyTiS6o9VRCPhyuqAy6U6HYHDuonXOPRt +cGBzZnShfa+5L6D+/dtiYcqGg536PmJG4vzM1dHB4p0JkanA1x0aJdaPf0E DJ0N8tINjTpVhs7yIfK5UMX5H19Mjo4PDUzOLS0/fLHYceyrDetqKxtbtVR+ GMDyzXCedFaaNgdcdG+32NTDKT3P6UQiwOMgIr/L7fH6/R7FFYpXoAZi4VAo EqsIshDBZoI9oVhFJBavrvaBXTgdrl1ZiGB6YfbXd10nvzpz5rg50lof3Xrh wp4tBy9opdTwg6URyHhNOghDP9oohx/zR2XOm/RTTojEOTo2wfr6xA7oD1Qb hbkPzxfnFif7x+YWxmbu3pgaad1e6ZGix5vOJgYegAfc6kTrz+4P0DW3jrdl kY8HfqsQZuV/5HmKClbrhSQ+DMYP0geDwXDML9FtcvTUNwiU8YpwPF5T4YHU D7hmY0deyxjdK+97T3Ykz55N9nWea/A3tnV1ZoqDc/fvP5jrJp9ol82RyWVN F9IS+ZDSGVRE9sFXfPcMzfhM+hB9bu/i7ZU7965DSjQHtPjho8XjAcmhbjp7 8nSzcQ0w8LthzKg7NrNPDXPyPh4dZ2DNAF4GV9U15s8rv4oXeIDbDwoIBzwu t9cflPhnV6MrKb5AsArWv3JdBGdDQMfVl/KGZgw+XDm07ljm/LHTHcc3VoS2 62NjPbMPvvnx5Wwn2Z5Gt8SRAg8ZCTLonBQOMxlst1hOOAHdQCa20SHzJ/eM rr7Biasz15eW7qy+fvPm6+UTboccPdSeaNl/qtA386m8CFQs31Jn+Tz7JEI2 1sZ3LPzuRjkwJwgKAKE/GI5EoxGfih9aQ+Sn7TBM9APR6opYrLomiBkHvFH4 hJHP6SOvFndUHU62Xjh3YVdVpPbM0PSV6eeff3w4UaKtSlxfZtt0vwJFP3qX qIHKyuBAy7E9RNwYqJKQAhc7+8avP37/y6+fv3tY2BRdv/eymTu3P9Gb73lf fgZ5ktmygZ+XQferijktp1OyhoFs+EeHe9iTIAMIRqMxCH+REG5Gc3kk9nFC pErmCgLyxaMVNRW4zwRdzH84B948+fnVxQPteoeeOtNYUXe8NPf8w49fPt8f yguDFpNbAuboChsUDC0AJHscdDrlxh5m9Ifdxy77rRcfPv3y4cFAW2u2qJ8/ frLNKI1+X/48apqFxCanmCgU6Y4s4E+surpm/SU+8iSrvnC8qjoejoT9LhwU slUCITYE42D+0aqaMP8IlsBhDQLgfLl8b2RsPH/pwOZQ/NLV689+Kf/y9uZA nqw6tuoNDun4SU+kDM66+Iahc4vn3k8Rj0MkaYLQqIB7asgESKl3YHzx+c9/ +nB9sDd75ODZs6fTvV1L5fK1glnIbGefG8k3cvDMZ23Es/MfUe/CgR+3LxSF 7CYUDof8btVF5l/wNDacdfGFQrHKqD9aU+1nhT4pdjJnaoVbEH/nx5bGTu3Y EN09+837T5++vn2li5otWjXzY4M7Oj0fwnqUCMv2OAmr18lnYOHAGwUMMklI /hrZUGnk0Zfy+7nUrnXbjpxrbj+z9fzH8u1OiMa7iPyKL+iTxVAXrf+shT1x VxUflkdCYDAC8S3idQMTCni9HhIWgAd6PL5wDFwj5vNHq+Me2SEBZfCFtzQZ hlZ6XC7Pn2yeHTp1+PiJ7L2ffv327pXeIhkBZayWWb0h1hRBLUfHWAxh3Dmq KzI2SoIgH3bUGSvOcTzAV8V8+/bZWGDjwdMtFzaGz34uP+8BrD2Ap2t41u3a tzVKj+MWh/r9GfqxMhCtigL1Q84P2BeJVwQ9oIpgCOgw2oTHA1DgDUFIjMb8 wAAqwx5ZDW3Yuf/AsUtaIZfpeln+6XzD6cHUvpNpPX/304cbg9jPwFPQ2OXm GNshGiHlEl1MSVoxj5IeOjuL669TU2EvovOPgyIfmQWvMv6u/E2uLrLpyJmO lk3bZiACDsDTz1Y6HP4t51KZtr1h0v2T+JZO1sWxisCK9TF1Ckl/YJnBAMLR aBBSnxBgYMiLRSGvCxlyyOcNRkNef6iiKuJzx3ac6cAt2diY7flQ/jF9/tTJ nY2n+gs9b94t9uVp6M7x+E3l11keS8O/wTmOcAWaB+j0Q58s8DcNtuZ0opzu eIcHi4uffxo7uXnz9i1Hm853QAL26wg8OXlo/fq9zXq+WGzf6rUaGk7azVHt a09SG4KOCiYAXrdCKiCBENz8PlBEOIJ/6vG5FJfXH0CLAC0Fq9fFg/GvmnQy n4rBHUs9D7XdtRUN2vL155/v97OigEbJPdsRKuIAwQU6BckkZ/PMLA/SheIs a9fFc4g2SVfA6Hvy893sjrqGdbsvthy59G25PIbba1LNLWlIgfRi4VyV7OQT LbLoYap8DtiGfyB/wI/Fb1hnsAIv5EIId+E4yu/yulxerzcQDIaCPp8vUFUV r97Tmu8s5FJpgKhspu+ncvnFqdrahuMjN9+Wv5vuzJPF0ugGALptxxAhPcfx nAmm65wNUXZg0rgooMIQamBuIMyieO39w7YtNdsPnTm3M1wzVC5fyWUg/8/n c81H9p/N5NM7PWRrDWf5dN1VuvlLtQ7GQ8/w+AJ+t0L04HW7UUOeAJMffufz KCogqjcI+XG4Mlqzr6PUWdAuHDjZkcmk0oOQ/L5LH28u9BY6X5UfDdDP8NV5 5sIXkOO8YTIJODiS/23oJqCObu5mdIHGADb7R859KozcvXrmQOOW061najyB 85/LU1oq0dza0XSkPhSov5AzT4bI5jJSuLfKHqr4zlqiJP6DvEFY5FAQUQDg zxcCEuQn8nsDyAU8XheAYNAfrYhuayt2FvWLW6J1JxPZbGYQ2733p68/WkoY r7+fKZo43cbWKUfPQ+H0VmdEgK8rAwAjx6HAsKEhZ/78Uf6NPhNnjWb6W9t2 rzvSnftq+06zXJ5Ot59s3LBxXUhxOMNH0+blKrKnwO3mI7DM+u0hkHcIYYEh 4wXeT0EwFIky+JNkWHkVEABjAkSEaCR+zOzM64ndQaXyJG5mGiRt/ve37jyY vvXx0SBONhks7gvwJjCX4/LoJKqzTzw3dUtKtr7c43V64gNXhCE0R2dDBmZn r3bvrTk6kjw1uPh9uTyVav3K6yBBz7XudCbfXEN2k1hyisKX0ILMB2EUVyAW i0UCYP1e9PIAFoAodvpCQReQAB8CQ9AfCVWczkN0v1ynSnWXsXw9SJq75acT 47fev5spYbXC5G5qWlUdWGW6X5t5Q47BgMnRgQnG3cUQyhOaor5gUBMySyNL T1+NH9t6vrh7Y/4uXMGVZOse7EDKvsotJxK6icft8k31bN8+N36Fl/XJlC/c cwcqqisj+MkLZD4WRPUFwqwrEgy6IRXyelyICZFQ9EAWwntzo0uuOZ3Ws5ke OuJzu6Vp6cOD/jzuWs/rIs3loR9/NqgNcH82OZcxuG1wMKTBgZ+lQ6kyPe3Q Copm18TK62/nWk7lu+v9uzq/lMujybavQH48Qa5dM/PpPT7QBRVbZmHfpap2 JwDvV0nvOhipqq2O+tx0LFChH1caFfKDRUBQQBIUjga9G85m8wXtRJXirT+T yqSI7su/rWiFx69nSxgV86bI8zmOGYLPcSg0rPXmDiBQweBP0Vm6TIXOc38g x570Xbv7/M2tge7rg+uU4JHvyuXB5KVNskPdcDpl5Au5tgNx2SkLusMWlky+ WpshIMwFwdYjFTXraqJ+WHSv1437Q7EQGPFR+ZVAAJ2fyB/yh4Ju38ZjLXox fSAke+rPJ5PaNMr/69ObN1+ujufpNDer6OjUvmlAoHvgcfeCWGMrxHGJ81Qf puXohlAbfy4pJBiFwZXVJ6urT57+MLteUrd9Xf7YkzxV4XBWn8nlTa3txOYw O6OG73pA4VF8Ow4iuHt8wWhlTVU0hDUfdPwAVkHDDP4QAAKA/arXAxAZ9AYj bslTseWMZrY0uqTo8VQ6O0w+32H13v2vn16h1VpD0HeC7oQC0HpvjjuzgMec zlMBKyySTZ6GKeI+cQ+TK4Umymb/vW+eP3z5/W/lpQZv6PCP5RfFjoMhh3df FsD5xJaYmwyAC6gj+x5c3AV4DHD5/S5vECudoWA0FoQMIBSJxaLhMIT6AG8d ePxehASPKxjxuXxRv+qpafyqJa8fCqixE0gAsL7/24uHq9+9n+0kg90m+fxi sgeEXrotgus2UmSFdo4DBq8OGBZBont/yefE4+4HyikNo+fex7erz4H3rexu PDpeLi/rbV95nVUXTaPjQJWbb9PggjLex4yBq8UNph0IBMLRcDAcDwHR9YHd g/xBv88b5vK7fAAMLp/fF4HMRwlEAjXHLx5vMs3TlcGas1om3fOWtOJevPnl pxs9ZLrVICegktBG0pW8zYzZGrONLJzxcHEFIAoQoJBpMEgU6YCud618+vTt O4h7L84d7MPeY7Z1u1vZ3GHmLuC5wfzcU27pLhH6OAUGrfiA1sNKh8OAAfg5 NMB/4YdwKACG4OPyq0B/XW5IAGNhMCpvNLrhkp7K5M3TtfHGS9lUsvSU9iK/ K/92v4/Pd+ssSrMKPoEBsTOOpIEGj3gW12Vh0RS9IBb8TFPEQ8t7Sstfyr9+ +lQufxlqh/Tnl6F0y2a3d0/K0Fu3qE5JHP1M+J9Ye6ECshPM7/cA4wuGMeML hnBPSBBhANKfQNgvemcet8/jDsSisZALmGKoou447tPRjq2r3taSSybytCGJ rbiXw7ixo8D7GKzSQU7pIRKzvTtsEys1DqYp+gDvAlp2sOZG9MPCSmkF3/VP EPjeYwH8dQkPgPDtT0ESuA3HXyw/5+dfsWUnx6GScwC8YP6w1mDuHn8oAFlf MBiJoPxeXyAqWfJDYHB5Y/HKsAu7ZfHqbecy+WJqV2XNTjz40Lxr9aOvlEwD p/eJoeYouaGGQHVCsxtu1izPFR1Aix6bNvbItMAyAcEROvFtf/v1Z9YofWym mjfK7t0JXb9Yp0o07NGpJTrzp7h4FODw58KsNhwMYvPXC1/8kOOFfBAPwAAC cUt+t9frc7nDlZVhoNKKNxqrqD/YlDq3Lli5tVlPJ43bQv4vN7oLZHMrZqkm XWDiABzMTMFjdUEGUVnc4NmPZPrXZgIY+Pm+Jx4zuh6Tt/xE6Wd5xUg11UlK /aXUpZ0hOrSqWjZvRXzh/LTxC0ldCMBeJQlewOf1YwcAdeGz5FdAJx53uKom iqmhLxryeiP1uxpCgfiGM1o2pS9bAwlPsPgBChCoRcNZngOYzjBALDEr5wj5 qVYY/RMMiR+qakfR7uf0Lan8X6Zy6UvrHI7g9gObIy4L+mi6u7b0R2Ig9nv8 quLDcgfwXpc/Eg2FA8B8gewiBkrSGgdwu4PxqqgLh9+jJB8MgMPEqw+ntUxu 1pL/3Sidh+eGzzgAimJxGpILMRprT/Q4aBo8/okM2qR/nheUGb71WoNwcHvV l82crwbC7wv5+CFHJNFXBf9RVJtWVFxmCGd+bHYFXLI7GIbAF3RBnAMYjFbV 2eV3e+HBcEVVzAOEORR1k3E4XyQWju5q1bK5UWvc9+f57gLdDGKle4zPM/5i 6Kylo+vCKLiP5xi6m1bSYxBrMKlVUBChjRKj/xu7/MtmWjsbI2OgbFxhLd/j SrCOwEHrBzSLYLdLVSAO+KO4G8oFRNcdrIra5VcDAZcrGI5VYiYYCat4QB8Q h1g43HBe07Qu20TOk7HOAmaAVHSsjzHnZpOstoiu27VCLYRlvXnBgqj0Jh0z oXriDdIh25B1+fNYNp09QT5ew8nmG2ilR4jNAFGhk2xY0SUtjgDK7yNE2O2P RgIetz+AY1DSmps/4PaEQuGKmN/rD/nJFmLIiIKReO2hJDjAxFtxIT9c7y0W cC8YJX48qLHdTILTWentGsbLtGbSQGcY1j5ynf/EWsI5Y9Q2CFt+2JnWUvvo JyJbJV7bsrtUiwvhHXcwhJUuNRiLR8NexYUQ74IYDxEhFIlW1K2VH+zfC9lB BHOkIOgNe4NetzdSUbm1Sctkum9/4Rfy2+p4F6VAvOZPJTR5VDdFBguPA1PW eZ5Lma7OqwaUI1GV8b+hO+cIYdLMiZ8t8X+9qqW0lgayjZxl+hTkaBiwEEDl mYAvEvIjrw/GKyIhD1JcD8S4UCziD8TikUhwrfwqEP9QAJIDv8sT8uGpVx4/ 5ISRiljtyUwmY05b1/LtYl+RDITqOvNnUgQzrYxX5+UNrgVbkZv8TF2CNEbJ gAm1EtMUaIGKyk/+aMn/sjed1U7G+MEtFPxcKp905TmfSlkw/O8Jx4Do+F04 74AxP+BzY4bjDVdEI7FIICz97uZxY2UceLLXG/bjS7gDODUWCsb2JnMZ3YaA f3o20UUUwKkPrdeTY/H4QucEC+CIRyghB0jD5G0PSyds6zv7O/hdcd4aBP11 zkhpid1epyIT86fnXPA0F8OABQcuohR/RSwQgIX3Rivjfp/Hi6bg9rpVTySO /Y/Y7+V3AyOENAkrIeEgfj4n+EPIB7wgtOWSltV6n1tr8fHmYAkQoMBIC1tz gzo2sXGe3dASUC7HzZ3lRaYhyt8iMWBxgP+c0/Qei3WWH/ZkUpmztbLkUpxO iSf9PO6rbpeq8FMPqRd4Y5UBCPlBX6AC5FdVj590fzwu1Q/pbzDg/738KiRG vlDY68a6WMCDABII+7AsUnMomcsWLApYLr+Z6UEDIN2RvF0CixJZpR/0ZtMO iKZhtTq45KYhOiYcDc2R19Y7TptaNrHHL7s8itOKfmTBXWvqHYz+uIOVUUhl PMFQFHzdh3kwMB6IgJDmRKORYPz34kMECAY8/gjAIPgKKgAhEKiS2xfbcknX 9Ok/WVfzp4cjXQXc6isCgM491yRnF+mcGBi8LMSpgMGLAiRImsIdKJYaPImA h0pzny2F90FIvFSvuoJexSmxpr7i4i7gokmgy+r6eGJVAaz9eQMgfdAPXADM PhYPBby+cDT2Z+hHDCASAJP3e3x+CBDhoAerZHBz+cI1h9K6PvDCZgDfzffi jkWTbuKkAM8x3GAFHE6FdN7k1RkfoMdmsCzAshQeJlhRrdB333q/WSOrp49G JQ94pkQzP4aALhH2iDvwVNgXj3tpAhwMQuQD2KuKB4LxSBBcPIrjvX8uvwSy g70ADnpc8N2PmRBqIBCt2Npk5DsXbPL/9ni0k2zZ1DlvI5wPrzzPlp1QAlO3 5gCoKnKM31Hx86YVIXiwIPmCmS9NfhBv93VPJq1d3uJxYKsWp77tyc4aDswR IBCPQorvAx6LxM7jCcQrAm4/RIRINByrqNzwB+JLLqDAwbAHeI8L9BXyskKx P1Kx/njWNAef2hTw/UIPWX+yz9sgk27c2K2VFw/QkRgeE7gqbPin6yJBJF8K xdKgDf3mjVQaP0PBQVsaIvUT1Q6x6Zv9CMEvCklfEItfYMm+QCQeBOGi4Prh SLyyNvpH8ktBMPwQ6MrvxmaZh3yKFhhAsKJqZ6uRK8z8YFPA09ESg0CeuhAW wwvC3M+Z6Rt8zo1WAGgKIPg/YYdUNfTvzUJpcOl78V6rvZl06mydSokfPbeE 2j1LAGwMmNoFcP5Y0A0JQBCrXaFwLAbripMfURC/oqr+D8WXfFR+P5AGbzDk pmTKpfqisboTWV3vWv7NFgPnyUkOeUBBlraIIg8LcNTMRYOLVbno8jPmbJo8 ZTDs1mDkS33zFuH+eSKXyrR/FWRHFJCP43a5XaLeyyseLBGCu0B9IxVBuH6P P4Dzvsj6MeVF5IvGqzZU/rH8atAXgQCI8nsANtiZoi5vKBrdehnr0U+4+4Mi Hg2XSgXc4lfIk8ItT/lteTw9I42bOy8P6MIuDHYOiGHZCT6Yzxd7J59aur5f TKXSp2tdfJcfQT63yzrmwap/yKzqE/THKnz0GCCc9AjCygYjOPUH4FdRu/WP xQcD8IPbI1N2+8h4GCkk4msEqg4mAbom37FLgmTg27neEt22WyAwgEcW8vVj qE4Bj/xvCkbMSHOOeoApni2KwHhywsR9G/WfzCSzbTt9RHj6oXcKbXWovNBh FcAJ/nvB6iviXqxgkG63G0QAIhvBme9oRW1D1V+S3xUKR/xg/x5PKOKlm0jx rdxeb7DxfE7XOm/ya/r1y6/PpnrxBDeTbJEgB34xqBPrz6K8Sedg6RwkOzPP KnqxbDCXY0QAeEXXyC3L+cuvO1NZ7VQ1PeGPc39q8mL5bam/ChlvwB+pDEMe gyO+QS9wX5x3CaL04UjVxm1/SXxJCoSiYfhrty8SwEKox+v1gKO5gQVW7O+A yxvl1/XL5y+fns0NoAvg0hOnZSkgB0Oy0Hwu0iAtM6EVog+iFqveR5ofBXJy xI33NqS9pqVz7Tv9dIRVYZ92xdefF/55GoBlX184FKmM+Vx+yPrcuPAkDmDd OxIJx9c1/gXvJwYQjsQgA/KHwx5UsdePf4rnaXqCDSdThtF1h6//z5/Ln57N 9nWSDUImmQjh4VtnURCLQDnW/DLo6SFkSIAqiJdFxB/Q81XyhVK/Dfsg8evM ZNPHKlWcxmaxz8XJj0B+qgFMA2TFC9hfEfWqrgAb8Q0E/R4EdBz5ilXXbfrL 4mMZJIgV47APrcsbJBMTPjxONFi19bxm5Me5AXz+8Zfyz4+v9kAilGfmzYqA fMxDCIc8l0wMMFA0aKubHvXHy8Mk9Sc7IHumXtrE/3IFQLRps89NPi+YDjmS mhfjPUIJ9CeIeeF4RQXxXrB/nwuZP1g/ig9oEIrX1v8B9bcjAKQBoRjSf4DR UCjg84dQAaovXL2n3TC7l/iF/QLs/Id7Y50FeiIkOxKSVwIFFaLxnjA9TgrI 700e/njAQNlx+TvHHtrEL6/kNT19OO7Cw3xdeIYHcnowSjc1f1Ht5/1vT6Qi Ho8S7obrF3CrPizrYLcXGz/x2oa/Jj4ggN8fisawHezyBcOQLrmBCnrw9IPI xtO5fGFI7FD/E0Sod4s9Bcr3c6zFS3qXJivo6GJ5ScucLT9xdMoU8pwDow0R DRQHbtqrXqs9Wk47v9FLRpwV3MTogmWEmI5zLC4W+128CYZFr8p4GOt+Mg2E kPAE/C5vFGshgWAkXrXuzxL/tTc1DBhYEcH+UBj3CMDNH/VhJA1V7m7P5ztt tByM4MFQng0/5XLWvKuZt/m2xvb2M+6nm6zkmafkh0xTmKSkjl+6Z+1F3zeD 8Hrtu0P0swzJmIcPVwNgDVtaXAEC/SFZiQf9IR8gtot2fwHyPKqvsjIaBruO Vq1r/Ovi4zBQCCdE0WLgDdzEpILwFp5grP50Np/vsudB5ZfjKJfGNzqxgqAu zJlGhgKtF5JKGT3zMJ8XZWFuAfitUBqzn4DwcQJAI3O82q2QUV+kt65gQKUD jSGc4GYa4JUfXygSgpWKwS3oxSKeP4bEP1IVByYQisSr6/6q95MbaQ4jDuKQ JCmuhHEzHJhBza5m3KJvy0vL3+HmfbGfI8e/kYCHO1rJcWB4HhzVBikbUmXw Yr/JmmdE/uLAkq3m9+WamcnlLm0Oul1so7IiuyCZp6cVeEADQYQmsf5uX8Af DLo9wcrq6qqKkAcQPFoZ9fsjVVUxIAChePX6zf+m+JI7EsSyj5s7luIOhbB0 6ItUNfz/1V1xaBRnFv8jBQ27CzvMDjswM8wMzDCzzMDssruwSxKykIRNYJck ZCEJMRBRsaBiBIMJCSRhs5CQiEIUFSqtKGjRQst5VDjFHlh60sLdUQstrSho UUFRsaCi4v3eN7tJ6mnVWuvdl0Szu4nu+773vff7vfe+95XGyuXZg/9csQFO zU1V+0CyY281tjvlT0DF50hMeNYYjDW/rPjpr5kabJ7x1WGG+uutiPk8PTM/ MTm1OSeHKTTHBZnYwLYBv03LalbCGGHlPAz4BHmY7TBLdMOEq1I4wEmGFhVk Q5dgyHlZt+Pqy+WvE2lWWRd1f1qDUchPGFCxm9dPlCsLh1Yw4XM7q2Xb1YJ2 Px3qi0WNbarrzRpjViWtVEP+vvZXiQF9zu1h7ZRq44tdE5Pl0aIZFUXK17P9 Tluao6PMq0jXJUUWoab+WoUjlO4B18Xr4GyaDBRkGqqs6qqMfwDiW27jK4gP BWDyL9URhSh7RDZH1OOFYRi3Bb/dGxvnF8uTtcJW9sEqwMt+GRDTfbJ8FRYl mC773S1roL8aCK4+U57ddfT8Cth/djfEH+vzdF2HO19Vz5aX1e3ycOt4V6D4 sAHkCoHvOZB7nh3xpObv4ahmmKYds3U66ck2tKRbzitov68A5F4DNYbBSRxd KEAewMn0j2ANdy23//nn3vLk1PTSCT/fEvg1QNWmBrTacwvVhCkTv1owthw4 Y/LP7j789xW+5ewigM/4YFLRLZVjt3BAt4O09yl7zVFJF7X2I4RTz4HZKjKz 2eTko7JmOq7jOKamwO5jP2D1DdtNvIr2kwLw4QCrEWbyB4UoeZzVAZCKWLx1 7Thk2nOmFg394XBlRe3vdC3e47O8KrQrV3bvmV/BdqtxnmrAtDZPuw6dubQc Y/1iX3l8evr9BlnUdDHgAz/itUwFAhwvKJquaXgtCL4Hf6WosqIZlm3bJmyf EXNdS1dI77FzODh+POP9JvL91QREqEY6GGS2NRylQ8JgQREYECfZsQk7fO6j Wijg1rm97JbyajZjapnkL9PBys7DHy9WllBADfKtYADg1guHzvywFPB9cnb/ zPhEeXteE1VNidRKW2iP86yGMwA2SyEuBZODrYDJMG3H9TzHNjVZlHTHNUQB RpNMJ/yeifnwfov4PLsDeKqGpfPSlBUNMXRdH5YMy3HSfWOVMmBKLRRw/fNd PvhbGemgmfC7PdHD2f2nvjg4N1Ndfp8Tz5SXwz5s/fd/cXG5q9jZfbOTE1Pj fbGoDCXnCX5S6J71dYfYFKjlidNzgiILdGLJjcfjXsyQBXodJF9XIQGl/OD1 VcO0Xc/xXlH7fQWAWQnSnqckCIuErQ6EImBPttNCoaDK4ue3q+/10l/3Vso1 Ml+u+YEyu9PO3xrzx7797uh8ZUXJRzXt6e8CpiQLn11dkv7pP/ZXpiYmJzZm 5Sjkg4mjpgWqTPkLQF9ZVWH5IqH6AHFajmo73WQy6VlqlOeigHoC0TaQH46s hAEraJm2/du879kRlMJB5vR4KRKo+cEQfIhuJbu3l0H69p6tdSm5evbw4kLF z3Qxg1bN30+zA/FT5dk9p65dP7k4V6mRwspSHHB6ujYRS7G1pxRbnZ0anyyP FC1ZUSXoLwyaoWvYCQA8IbwNkX1LKwxDHcZqx2Kk97B+UVXBjAAAc1ElSgc8 DCfuWIZuxF5D+2koxH1CFDULERIIMIgZCJNPTfePElpdhkG3Lpz9ePfMTC3M 65/uqd4MgQVeOPLN/Qfnjx/YWfFpbzVSUC0PZHGPcuXYcq7z4sfUMmxqfDCl AMUIgPQwXwDwrG6VfNwquHdd5pgboPwMbKFMEU46xCdJ8AXRMEv44AXLjbuQ 37BeCfn8SgEiVCcmi2HmBgkMBalGFKbUzq2DD5iZP7bE0x/eunB8gWk3E95P gfknHsszs/tPXwZQ/vrE4ly5Fuavpf39DYEHC8vpxSuf7KJOD5MbWhxTlyOC aihR2TREngJ4zJuFAAJkjacdSVousrMcwdUU64mqJk1VxC/jlOxkwrE0RVGe LXd4+QipHBeVGfdf7YeYAqxGOBzFBAySBuz6ZBkGPfj64Hytdn9yukYJqUM4 wMJPFMu98tmuSg0OLOULKj75qcwv15fc+HSRPOrkcDEVj8c0+ByjhuTg4wWO dBITwOti/XvE70DVBA5/8bCFqqpqBHajQCzvrcbbj8VtmAPwOfN1xa+roz4h lABmqu9nGWkPBEEjnKbBHVi0XSeWJ+DaqX2zLIrrz8JU9WacyZndR75hhuLG CTorX/YbKtWifxTvm5/feeDkkird/AtzJ1PDpVxjY9oj26VQAgOywd2rqhKF uQc9h2bW171Xz4HSa4Dn4H2iAgNJyS2NAkA8mUfJ0AH/JFlzXlP72TAsUAif X9XXwisUXoT1sRv7RiDE7k+XANvjq387MLsc8vAPBgIMz390zseKtz5bJBYw N08tldgEkPALO/ccPPr5d0uO/+7ni9MTWP2tpZbmXFMq7loyWJ5oWLoEUgMh VUuD46cIiFD/3uqQICmGrUcIG/NRKl0SIhFJlQU+iq2CldKp14dqvZz1PmeE NYGWH4PdJsb4ICh4MIL9ZGXXjELUxb8tA/ZrZz6i2nh2nU31LqdpuP6TVUZ3 98yBnfMLuw8c+nAPnR8kuje/c8+Hx/56/vJynvvumb3TsPyT2/pbGzPpZNwx BPBO2bRsUxFCYSpIUQHvJI7iuUCl8O6iSDsEQC9KCW4pKmCyVEBBg3kMbBr8 wCvi/mdHkFxMVX5mApkpCPKKImuxlnXjdHnf35ft9vVvPqX+7uwU6xQjwJW5 xY+/qc7Qw39/duToiZPnvjlzeHF+bnZ+dn73Bx+f+vLCtaXCKiotowZC05Nb +tub0jDcti7UrwqKpmPaFnmCKLUskg1TAdOr50KBEJYZC6+SmkuaZZqmblhu KukB7bkm/CFwAJ5/Lc+/cgRk+NsQmQCfDvlVdyFZUUwn1bFpArD1wNllDXh4 5dzhhRm2+pNwezsXFvYcO/fzoyd3GbC7eeGrf125/fCXCyc/3Ltn7/4PD392 9ttrK1q9UcenPUScJrf2deRSMRMmL0I1HJIVI6MuySIJFIlqtiFi8YMUpBF4 LA6Wnvr5SAr2gpdMpxO2pui2JXJQl6hkvDjf89IRgaUJsPukOJArCitS3EGU VSCupu7NWKrK3s+XkxVP7v7ryMIUu7pwbt/ho4cPf/rV1UdPb1+6RhPw6O51 NlVXz504fPj4ybPnf7xxf6X0T787vkCmb2LLQEdjwgK3gY8H5OUU21YFgrGa SG1LQoJhK8RJ6kMUogTK5Shrg80v6THgYNfSREySZYrhYJCLGtnnJvtfdQKi lECj+3QkeFliAu+trgfoVrRYsrF7W5la+n6yokz3wbfHdtIa7jp86qvzX/7j wvVHT59c/f4yCf7kiZ/SfPDTl6dPn//h2u3Hv5L+6TeH5ti9wVvXFBs9jfK0 OjunjvU2JWg9+UHgv+Cq1YLB2hNStJOlq6iaOwDAYzqe58ZMXTfMmOfCKoYF NVX83drPhizxYcqLqxGmAyE4XeqRJHKS5WZ6x8iQLxxdEQ969OOpowc/OPK3 f1+9devWXZL73qUfr9y+58v+hGR+eOPSxZuPfi3808dfHSjT3b+TWwe7c66O 7WwYChcMAdA7WFHDcU0JPBZMPriaAxKkkIYgKyKl9yhnU18vmDAYhkLuDnDX jRmSZGYKAxveSPy6sKER6IgokXrKhItUGhoUVSkQiJqxpg2wdOOTc4f+sUKc 25d++P7K8r5+cOPSpas//3TzyePHD3+5c+ce/eSjZ5Yehv/svunxCdr7Q6Vi WlPA5C1MORXhmYmE44DOi2FelcNUpIslgS+kLk5U0IN5oGKlkIolp4pXXqI2 HprpJZs7ezo730z8ujresmFdo7LME/8U5AiIYUSRw6sDoh7Lb6bLvicqB87d f1Yifzy8e/Pa5cvXfjh34c69e3du3bl5++695/zopU92TdI1E6ObBvt6Wl1Z MWIxSyMUE4raiaTnxUwYQI2UUIYpBNYHz4VnV6iRV4Sd5o9YcQvegqr3ZRV4 v6Wr1NWWzbyp+DABpo7/hiA2T0ZXFIEngS2CqzhVjxeH6Z6+yZkPvvjlv6XC lv/l7o2fL1++8dPZry/fvH3r9p0bd365d++/Vv/8BzPUKHBi+/r+3p6OrK2p BuAueK0qRFQvmfAc27bh97HaomXAC2DN6RAPUWGgvhDBsmgsroeoLDgsW4mm Ql9/sSlueW8ufl2d2OEAQ4ngVVRHEVUNcFLsufqAqOqJEk3A2ER53+lbz5mA p48e3rvx85Ub17//8frd+/d/uXvn/qPHz279258vspsvxrau7e3qbE3bFL2P YlMLEE53UukENjb8P1h9VDFNibAdFgG+IQzYT5gPMJWTY57Bw1HxajzX1dvT mjAV5bVJz/NHdjDnmppA5ydEUY4CaEfgWAL1kaiiJ7q3s+vbpvf8Kmu9Yjy+ d+v2vdt37j2ACXz88L9f//bI3NjI2MTY8MaBYmtTxoPeK0TvObBPRXeTKVA4 HbgfmFdULOBhSVGhClSiCipE1W08pazgIHQxIprpfA9UKKZKkuL+Ltj7nJFZ V2pJ6FHQLNWQQ5R6wgjU87ygKF7PCHU9HJ9eOHL+BUbgt8bt04uTO3aMjY9u 7iu2ZClWoWCjYW+LoTAVKroJiutQWQLHg3k6WFXNdGOayI4swz2GqNqRp6XQ Fd3D0nc1e4YIK6k4L0l1vsbwBgZKbUmN5yRbC7H0IztQhrcoil7vCLukdXxq 94kVVUuvNB6f/2iW3fm+Y0NPSzqOPa4xKCOomhyhSnXLg6gRdmZTkLRYzFAk xYonYA8JHHAcHEGQpaqBSL1US2exJQ0N4SP45T9s9WlYrYW+vva4plqmQJQw ROcoeVjdaERK9G6nu0snJsaxCb5/joa/cO3PH5qh61LHx7YOFpuTlopFg+bT GTVqTQgl11xHpjAX5Jd0Gz5BFRXbTaSSiXjcgUug6AeIPwhuJtdR6GjNOLCR BJqkP1b8ujotnWnv7S82YAV4OkVAZ2oYAeXDUa978xg1OB4dGS3vPfHllQcv F/3RrYvn/7J/ZnTbth3jE6Nb+9syLtY5IoGvUuQNIoHHww3aKvVppa4EmmFa YMGi4WH5TVWzHBbzgwcw3ExbZ3dXe0NMpZg3E197nWjvKw3VcBJtpb72jKtH wzwFhhgZ5Lj6QMRq6V2/eXh0nK6ILc8dOH766+8vXgTqufrzz9dv3Lpz9/6j J4/v37lx7eqliz/9dPHH7/55+vhHe+amx3dsH9k+vHljX74hYSlQWcbWNQ3m nzK4LL8RpQIUkSZANS14Yj0WjycM/Ke8hFfNWCKbyxe7u/JZ198Q1OMK4r80 zf/6gwel9poK3cWWhKFqYqjeb6rFgxiGlViqqWNgywi7LG6qMr973wG6KO/Q kSNHjh0//vHxT05+duLokcOHDn5w8MMP9+/ft1CeoEsFt65f09PelIJOEYFT wV8NrDI4HNl8kFmwWnL12P8iCIcfyLRdz6ZTuhSHsZPNxZ5SZ2vWUVk/W559 CZLxZpj/BYMzsS5WJl8qdbZkPA3Im3KC0TCFBrmoaKTyA1tGJ/yG12V29eMs XWqzc+fC/Dz+nKfrayp+Apxu/R5+vz+fdkxZoHw1VecbJD8W1XITyTgAn0bx LGhzFHjWiidTFMvE9Di2SnkNKuRrK3a2N0F1YDJo8FTuRzVeLyzwfLPBw/5I ihFv7h5YU2rPxHSR50XiqFQiCFBsJ1v7Nmzexq6uZ9e6VOjipvk5/xI8/wot /8jA1NjwUGcubkgg8vAmnKgC6VGMXxFZ/EpitZp+wSocuRlPpdOYEx2+z47Z mqy52Za2fGtj0gYYDoWorUeYGpxRR2fZeqUs9++aABW4AszUzuZLQ2t62rKe acIkg4NC8eCjVSPe2N7VO7B+6wjdZDbBLkNmtyRO0D3G2O7b6BLD7ds2relI 25Yhw3gHKa+kqlR0KGPTY80FkbqTwQIalMwEBMSWj7sxCxbBwtZINzTm8u2t DZ5JJDBEvfvgIKibdYQOMKnO6yU6Xm+oHt4h5lhzGgq9g/3d7UBsCRdvTRbp XIWiwRg3NbfAJPWWenu6OotdvaVSd2ehWOrt7Sm2FwqdpVJXR1tzg6crNHXM WMsAlPWrghEZu9ukuB30ihdh4QF7DWwHl/JXhuUk0o2the7uznxjwvIjU8FQ VX6exIehlPWE8RbFr6uDEQQbjFJO1cm0dfev6S91tjWmKPcIWxUBU7ITqVTc cWKWZdKOdmG2dMNJJhOJhIddnG1IYzEdW9fhv1QZv6DIEh9YvSooaTZ4ruuQ gksw9zYcvuPRymvQBDvR2NZZ6i0VmjxN5OiMCoRnqs/aGlIpBOiQmbHeqvjY Azbjw2Dh0AIrkSv0Dgz2dRdbGxKurSq6FhV1N+7ooCtChOpHJZnaStIZTEnT dd20IZFtsQ8nZoDhEJuoZ2Eux/ESyXTStak5vaJbWPFUMu7hsZNsbOvq7evO A+AIXIhdcE7iU3KfBQCo6oF0v/ktS08ToLrA6FQYS7kXGU6oKd/VNwDm2lVo zcYNVTVjICxACGHWVYmnTL0s00kMSlLoFmCcQYFp3QTYJ9MdpOICNQavh8XH VieqC5CfSKSzDQ3ZBuynDmwnYobQ+jATHEQ0SP889fHwmzlCesPLv33xMfSU SXsgKlIrDWqjrZpepilfLPWv6etqzzVkIEiMkDxrJ0gxujBP2UtV0w2K6krw 5pSUY1UbAqQBkZGhEPD4MsW9TFL8eLqhKdfaXuwq9fbBZDTBWQjUsJ5td3zQ /RVVuAM3SXjZzr5t3a8N04lp1ECd8UAqsqeuqopue5lGvOVCsVjItzU2ZLPp uOe5rg1ZVd1y4rCMzY3ppOfGvFQmk447tL0pxWVggzs2UJVhx7D93US2qTXf 0dnT298/QOYlbkLr6fKCIHN1WPoQ9WqDzSezR7kgUTbclj9JeoyIFocKiKwS V6CoLF+DnoRTY14iCx9Q6OzqIheQb8+3d3R0FAtdpZ6uYqGDPS50dhYKhWJn Z3epp7ur0NHelu9ob89j7joKxe6+/v4+uI2OXEMC/I+SnsEA0/kAyR2u+nty emT2BerYnir+eeJjmMRFCZdDCaiZOoOeVYWMECwCUsEOhrnPZrGLsSfgALC3 HWzxmGWT9XPBZBJw5825ltZ8nvQGE1Jsz7e1teYaUglQXFVcatfo23q292kG wqysya/pj9LiN9t/qvh1dYKesuCnolKUjpWw1mKstxihMJ4BEo4qtZmRoEkS 6CwaTy+H2VRRL5oIcxGUuQHZJe+gUY5XZnUOVLjFk7KTmw9WZadlx3NczedF 2G0Omp1+4zDv7xi252EG5CpUpfsUmAKwixYYJKPPEH35b5vOIbEvfwOTDcNP 4nVaTvqGq8pGToPznYdv7v3v2Tf0z5PNZ6LT0itAXF1vge69whDttiQogUIY nc0CiAxbGrZqHFtmes81mEY0oZ7mwIcuYX+wiaBFZj9Iqs6Fl17ytd5/xIWr WIchPVblZXmZXNf78+9Eehq5vrXdLZl4DA6b1JZdqgAVpyVkBspfxkCQHUIL UD0ZGwHfizHFYOrAkCzTc0wD/WbYf6aqA/52ZzuLevcrGhGBTK6jd+3w1J6/ vDPpMRID47untm/o72zLNaYA1HRFoZMWeJ+k/GF+eSEDbAZILIbewj6G8U1b kL0eDPm+nSkPt7Ty1Zt6oOyECd1kY669NLhhy47JysLi/oPH17xL8WkGhj7a t2fnAru9d/1QX2e+pSGdsC1QWZkgMIUoqZHG8iL7EoaZwodDTN1D7Lbx2oYg IsuFa2oO2KQTEM42txVKQyR3eXZ+53xlenxk66atfwLefelobt64dv2m4R1T dGx7rjIzObZ904bBUnch39KYTRLat3y053uCCDuVSIWsPGvMxTP2TN6AgooQ WNEJAboJcKVcW6G7d2Bow6Zto9SLnPqujm97f6ivK59rzGRa+9616NXhWi3p VDrbBJw+sA4zMe6Xfk6Og/Jv27Jx/bo1fYA+XZ2FfGtLrqkRoyGbySaT6XQS I5XOACU0AuaDHxd7gPqG1m98f9PwyMgOiiZR+GB0+zCmtLezvQU0y6QKJ81K F9612CtGTM9Stbmq6oYVi6eyTbl8J+jA0LpNW4aHt20bGRkdG6NbMOleX/bd 2NjYjhF80i3HO0bZxe7j7I7AiUn6iR3Dmzdv3riWmGVHaxMoc8w0dEVkmFuk mpaGd+Hxf2vYRoOt091JIHkgY4zzqqwsOx5PpDMNAMTtHUC7vX0DA4ODQ0Pr 1q1dt2Hd0NqhoaHBNYOgj729BIOhIc0NmSxYQsyBOVVBninaIDCCS1iX2JbT 1P2uxX3OcMxGz1AYM/RPHjMwWDVoPmKhIJEM0ixjcih9TRWLqkLHtRSZXDrj UwQmCS365J4QPhfx/SoMIlxAvLnnXYv6ghGLxcFX6MBJhNGACOu1S86N2Aur zyU4RJ5/yRdUmQz74tk3VRrhn1xgtxVEquEtSdasZP4Pyuq+lRGxtSwl6US/ zzDhffrDhzQMA5DUNaUgSFf7pPZDDDP7QQ1y+REiDeQHfV8oqUYs2/G/LD0b wCjg66xUGWvIeq0vy+aDXY6xA8rwC1XizGSugbzqcgsRoToBFNhUdDPR3PGu hXulwWkgv7DWRIvDjLZw/olKnp3Bxnb2ReWYYvt6wjO5famZ6YhUbQjdUwLE a3oNre9artcYYUU2TJUhQN/8MQzL+3HaKlmu8mGm6uxpVt5IOIilhCK1qCZW 3kn/LwC91xucIukgh+S6KIvF+UacCeUrNltc9qgqv1CFhwLzAZgGChBqppvJ vWtZfufgVFmQdfg3MSqxxRV8u8Zmgl1DQ9Eb5i/peDqbDpHaVEgiww+a6SSy bzOd8ycMqIGgUMCbCngZA4jy1W1ND9g1nFHWZ4JNhkjzISkKVTwm0v/nstcG RxcuajHboOiWX6vMFpjQougnOQGBVMoFsRi57SUTf0Dl3v/WoK7SsigkKOJt GCzShw+6ilMnmS3TsmJuPJnONvz+eu3/g0Ei0/WjFDODqtsN2VQG/K+xKZd7 u5nLF4z/AMZfNhM= "], {{0, 256}, {256, 0}}, {0, 255}, ColorFunction->GrayLevel], BoxForm`ImageTag[ "Byte", ColorSpace -> "Grayscale", Interleaving -> None], Selectable->False], BaseStyle->"ImageGraphics", ImageSizeRaw->{256, 256}, PlotRange->{{0, 256}, {0, 256}}]\);
In[2]:=
X
res = ImageMultiply[i, SelectComponents[FillingTransform@Binarize[i], "Area", -1]]; GraphicsRow[{i, res}]
Out[2]=